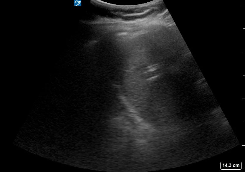
The “curtain sign” in lung ultrasound describes the progressive disappearance of lung tissue from view as the aerated lung expands during inspiration, obscuring deeper structures. This phenomenon resembles a curtain drawing across the screen, indicating normal lung aeration and pleural sliding. It’s a key positive finding, differentiating normal lung from pathologies like pleural effusion or consolidation.
In medical ultrasound, recognizing the curtain sign is vital for accurate diagnosis and patient management. Its presence helps clinicians confirm adequate ventilation in the examined lung region. This acoustic artifact is highly relevant in point-of-care ultrasound (POCUS) to quickly assess lung health and rule out significant pleural or parenchymal abnormalities.




