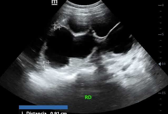
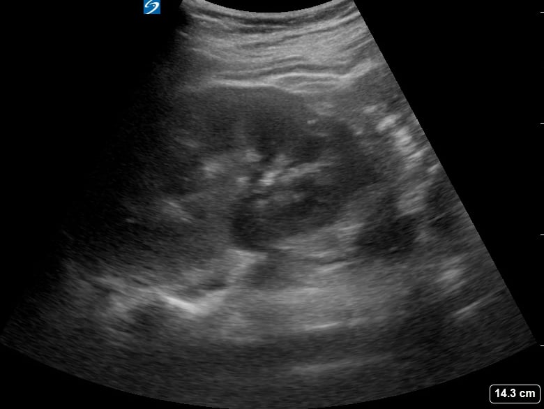
Hydronephrosis, in abdominal ultrasound, refers to the swelling of a kidney due to a buildup of urine. This occurs when there’s an obstruction in the urinary tract, preventing proper drainage. Common causes include kidney stones, tumors, or strictures, leading to dilation of the renal pelvis and calyces. Early detection via abdominal ultrasound is crucial to prevent irreversible kidney damage, as it provides non-invasive visualization of the urinary system and identifies the level of obstruction.
Medical ultrasound is essential for diagnosing hydronephrosis, offering real-time imaging that helps differentiate between various etiologies. Sonographers can assess the severity of kidney swelling, monitor progression, and guide interventions like stent placement. For accurate abdominal imaging, identifying hydronephrosis is key for timely management and preserving renal function, making it a critical aspect of diagnostic sonography.



