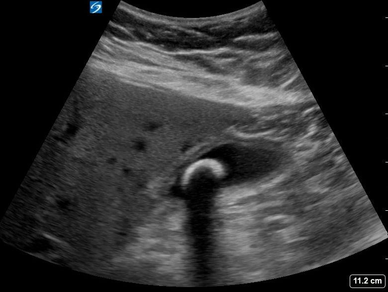
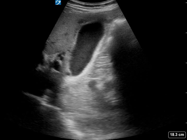
Pericholecystic fluid, in abdominal ultrasound, refers to an abnormal collection of fluid surrounding the gallbladder. Its presence is a key indicator of gallbladder inflammation, commonly seen in acute cholecystitis, a condition causing severe abdominal pain. Sonographers meticulously assess this fluid for its location, amount, and characteristics to aid in accurate diagnosis.
This fluid accumulation is a crucial diagnostic sign for healthcare professionals. Early detection via ultrasound helps guide timely medical intervention and treatment strategies, preventing further complications related to gallbladder disease and improving patient outcomes in abdominal imaging.




