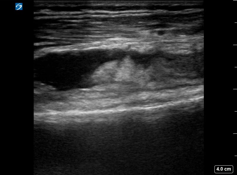
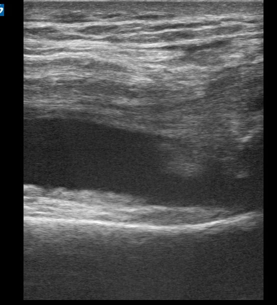
Knee effusion, in musculoskeletal (MSK) ultrasound, refers to the abnormal accumulation of fluid within the knee joint capsule. This common medical finding can indicate various pathologies, including trauma, inflammation (like arthritis), or infection. Ultrasound is a highly effective tool for detecting and quantifying knee effusions, allowing clinicians to assess fluid volume, characterize its nature (e.g., anechoic, complex), and guide aspiration procedures for diagnostic or therapeutic purposes.
Accurate identification of knee effusion via ultrasound is crucial for guiding patient management in sports medicine and orthopedics. Its real-time capabilities and portability make it an indispensable imaging modality for rapid diagnosis and monitoring of joint conditions, aiding in precise medical interventions and optimizing patient outcomes.





