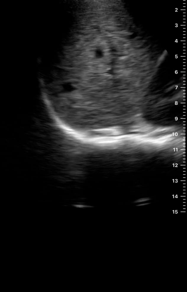
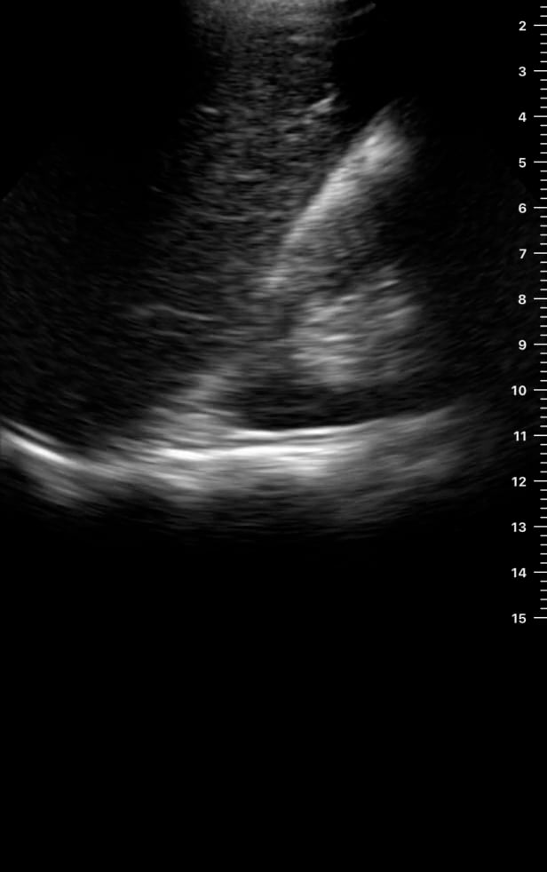
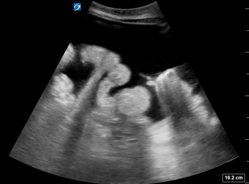
Ascites refers to the abnormal accumulation of fluid within the peritoneal cavity, the space surrounding abdominal organs. In medical imaging, particularly with ultrasound, ascites presents as an anechoic (black) or hypoechoic (dark) fluid collection, often outlining bowel loops or organs. This condition is a key indicator of underlying pathologies such as liver cirrhosis, heart failure, kidney disease, or certain cancers, requiring accurate diagnosis for proper patient management.
Ultrasound is a crucial tool for detecting and quantifying abdominal ascites due to its real-time imaging capabilities and portability. Sonographers can effectively visualize even small amounts of fluid, aiding in diagnostic assessments and guiding therapeutic procedures like paracentesis. Understanding ascites on ultrasound is essential for precise medical diagnosis and optimizing patient care in abdominal evaluations.





