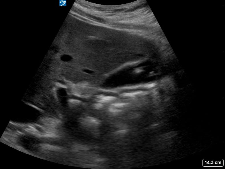
Gallstones are hardened deposits of digestive fluid that can form in the gallbladder, a small organ beneath the liver. In abdominal ultrasound, these concretions appear as hyperechoic structures within the gallbladder lumen, often with posterior acoustic shadowing. Their presence is a common finding during abdominal scans, frequently associated with symptoms like right upper quadrant pain, nausea, and vomiting, particularly after fatty meals.
Medical ultrasound plays a crucial role in diagnosing gallstones and related conditions such as cholecystitis (gallbladder inflammation) or choledocholithiasis (gallstones in the bile duct). Sonographic evaluation helps assess their size, number, and mobility, guiding clinical management and treatment decisions for patients experiencing abdominal discomfort or suspected biliary tract pathology.




