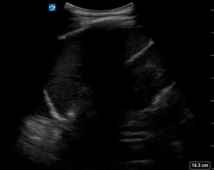
Pleural effusion in pediatrics refers to the abnormal accumulation of fluid in the pleural space, the area between the lungs and chest wall. In pediatric ultrasound, this condition is critical to diagnose, as it can indicate underlying issues like pneumonia, heart failure, or malignancy. Early and accurate detection through ultrasound is crucial for guiding treatment and improving outcomes in children.
Pediatric ultrasound is a highly effective, non-invasive tool for visualizing pleural effusions, offering real-time imaging without radiation exposure. Sonographers can assess the size, character, and location of the fluid, aiding in differentiation from other lung pathologies. Understanding the sonographic appearance of pediatric pleural effusions is essential for medical professionals for precise diagnosis and management.





