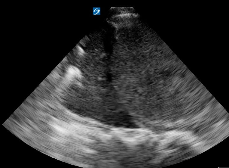
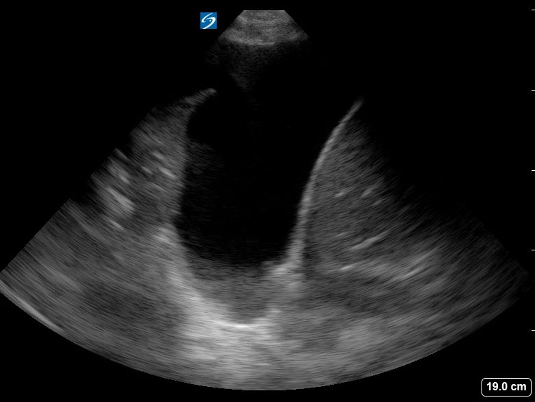
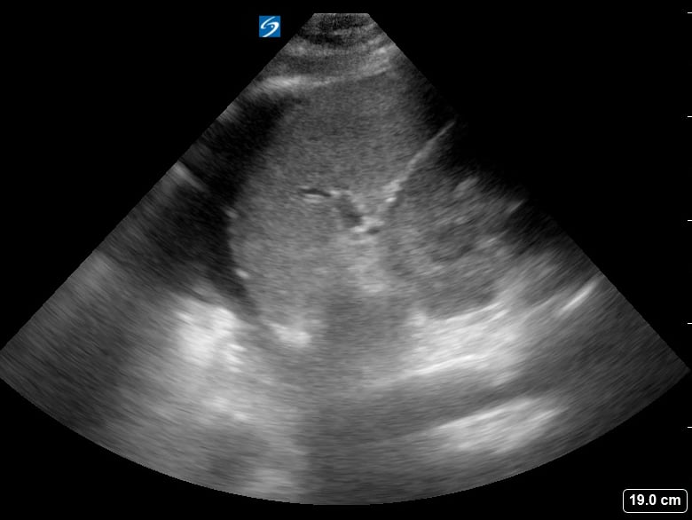
The “spine sign” in lung ultrasound refers to the abnormal visualization of the vertebral bodies above the diaphragm, a key indicator of pleural effusion. Normally, the air-filled lungs obscure the spine above the diaphragm. However, in the presence of fluid, sound waves can travel through the effusion, allowing the spine to be seen. This finding is crucial for diagnosing fluid accumulation in the thoracic cavity.
Recognizing the spine sign is essential for medical professionals using point-of-care ultrasound. Its presence confirms a significant pleural effusion, guiding further diagnostic and therapeutic interventions. This simple yet powerful ultrasound sign enhances rapid assessment in emergency and critical care settings, improving patient management.




