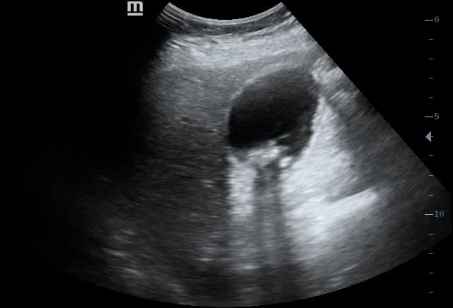
Gallbladder wall thickening, in abdominal ultrasound, indicates an abnormal increase in the thickness of the gallbladder wall, a key diagnostic finding in various medical conditions. This thickening can be a significant sign of inflammation, such as acute cholecystitis, where the gallbladder becomes acutely inflamed due to gallstones obstructing the cystic duct. Understanding this sonographic sign is crucial for prompt and accurate diagnosis in abdominal imaging.
Beyond acute cholecystitis, gallbladder wall thickening may also suggest other conditions like chronic cholecystitis, ascites, hypoalbuminemia, or even adjacent liver disease. Ultrasound is the primary imaging modality for evaluating gallbladder wall thickness, offering a non-invasive and effective way to assess the patient’s abdominal health. Early detection through precise ultrasound examination aids in timely medical intervention and improved patient outcomes.


