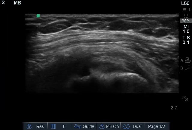
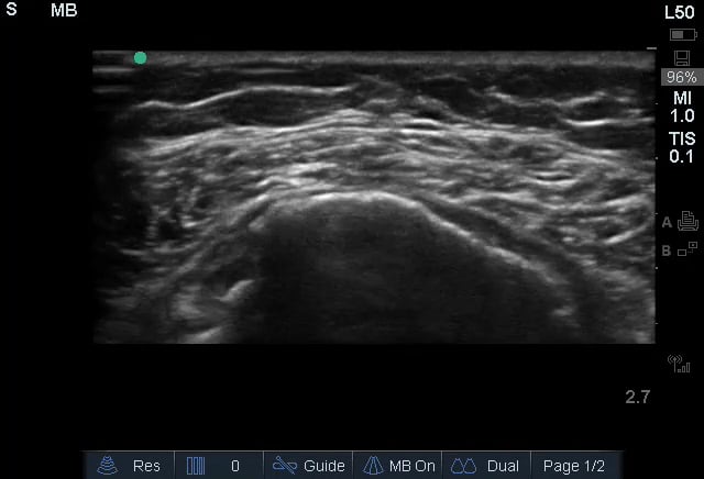
A rotator cuff tear is a common musculoskeletal (MSK) injury involving one or more of the four tendons surrounding the shoulder joint. These tears can range from partial to full-thickness and are a significant cause of shoulder pain and weakness, often resulting from acute trauma or chronic degeneration. In medical imaging, ultrasound is a valuable tool for diagnosing rotator cuff tears due to its real-time capabilities and ability to visualize soft tissue structures.
Ultrasound allows for dynamic assessment of the rotator cuff, identifying fluid collections, tendon retraction, and changes in echotexture that indicate a tear. Early and accurate diagnosis via ultrasound guides treatment decisions, from conservative management to surgical repair, improving patient outcomes and aiding rehabilitation in MSK practice.




