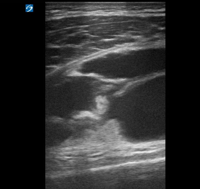
A tendon tear, in musculoskeletal (MSK) ultrasound, refers to a rupture or partial disruption of the fibrous tissue connecting muscle to bone. This common injury can range from minor fraying to a complete tear, significantly impacting joint function and mobility. Ultrasound imaging is invaluable for diagnosing tendon tears, allowing real-time visualization of the tendon’s integrity, tear size, and associated inflammation.
Early and accurate diagnosis via medical ultrasound is crucial for guiding appropriate treatment, whether it’s conservative management or surgical repair. Key ultrasound findings include focal hypoechogenicity, fiber discontinuity, and retraction of the torn ends, providing essential information for patient care and rehabilitation.




