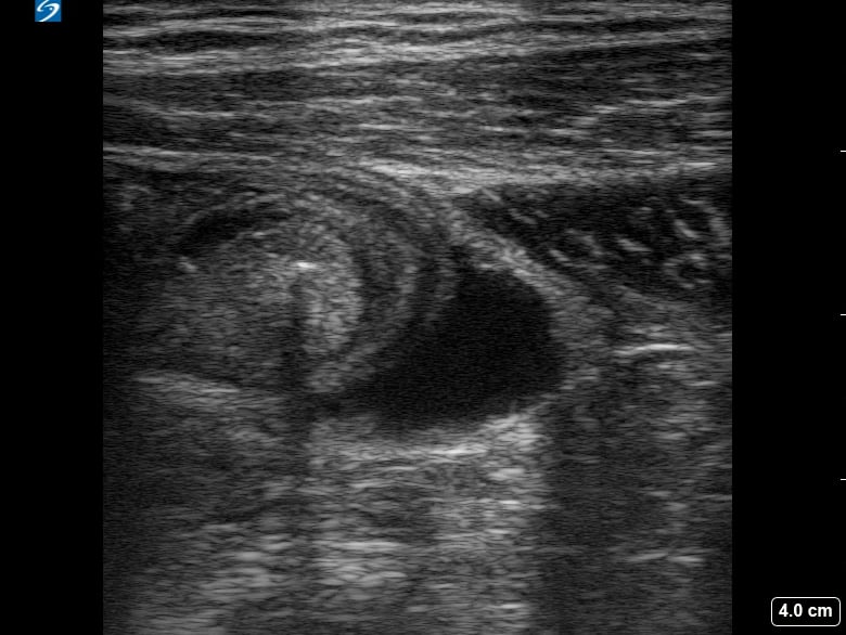
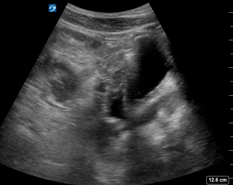
An ovarian cyst is a fluid-filled sac that develops on or within an ovary. Common in OBGYN, most ovarian cysts are benign and resolve spontaneously, but some may cause symptoms like pelvic pain or pressure, or indicate underlying conditions like polycystic ovary syndrome (PCOS). Ultrasound is the primary imaging modality for detecting and characterizing these cysts, providing crucial details on their size, shape, and internal features.
Accurate ultrasound assessment is vital for differentiating simple cysts from more complex or suspicious masses, guiding appropriate medical management and follow-up in gynecological practice. Early detection and precise characterization through medical ultrasound enhance diagnostic accuracy and optimize patient care.




